What is a Flat Foot?

A flat foot is another term for a collapsed arch. Flat feet can be congenital(person is born with it) or acquired(person develops it over time), rigid or flexible, painful or non painful. In a flexible flat foot, the joints are able to move and the foot becomes flat when a person walks or stands, but remains normal when not putting pressure on the foot. A rigid flat foot remains in a fixed flat position all the time, due to damage in the joints or other abnormalities. Even though some flat feet are not painful, if not cared for properly, the condition can lead to early arthritis, as well as pain in the knees, hips and back.
What are the causes of Flat Feet?

There are a variety of causes of flat feet. Flat feet can be congenital(person is born with it) or acquired(person develops it over time). Acquired flat feet can result from tendon weakness, foot and ankle injuries and/or previous traumatic fractures. A tarsal coalition is a condition that can also lead to the development of flat feet. The joints in the back of the foot may be frozen(unable to move), and aligned in a position that causes flat feet.
Symptoms

A person can exhibit a wide variety of symptoms, depending on the type of flat foot that is present. Typical complaints include: difficulty walking, arch pain, heel pain, ankle pain, leg pain, pain on the outer part of the foot, as well on the inner part of the foot. The pain is often exacerbated with increase in activity. The severity of the flat foot does not always correlate with the extent of symptoms.
When to seek treatment?
Patients typically seek treatment due to a variety of reasons. In pediatric patients parents may be concerned about the way their kids walk, and may also notice that their kid is unable to keep up with their peers, or falls and trips a lot. Often a complaint of clumsiness can be masking an underlying problem with a patients foot alignment. Other reasons why patients seek treatment are: difficulty walking, arch pain, heel pain, ankle pain, leg pain, pain on the outer part of the foot, as well on the inner part of the foot. The pain is often exacerbated with increase in activity.
What are some treatments for flat feet?
Treatment options vary, depending on the severity of the flat feet and pain level.
Treatments include conservative and surgical options.
Analgesics typically temporarily alleviate symptoms, but fail to address the underlying condition and structure of the foot.
Non-operative/Conservative Treatments
Custom foot and ankle orthotics- A custom foot orthotic is a doctor prescribed arch support that is made directly from a mold of your feet, which can aid in realigning the foot to a proper position.
Physical Therapy – therapy is aimed at strengthening muscles to prevent further collapse of the arches. Therapy is mostly reserved for flexible type flat feet, which are typically seen at an earlier age.
Immobilization – Taping the foot and ankle in proper position, and immobilizing the affected areas can aid healing of tendons and lead to relief of symptoms and allow for transition into foot/ankle orthosis.
Anti-inflammatory medications – these medications fight the inflammatory process which causes pain within joints or tendons. When combined with other conservative options, it can aid in resolution of pain.
Corticosteroid injections – A cortisone injection is a powerful anti-inflammatory medication that is used to rapidly reduce the pain associated with inflammation. Cortisone shots can be extremely effective in alleviating symptoms.
Surgical Treatments

Surgery for flat feet is separated into three types: soft tissue procedures, bone cuts, and bone fusions. This is all dependent on the flexibility of the flat foot.
With flexible flat feet, surgery is geared at saving the joints, maintaining the motion of the foot and recreating the arch. A combination of procedures is done to achieve this.
With rigid flat feet, surgery is focused on restoring the shape of the foot through procedures that eliminate motion(joint fusions).
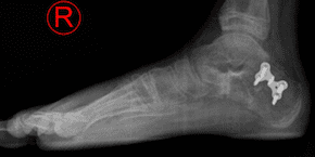
What are the procedures performed for flat feet?

The image above compared to the image on the left, demonstrates a flat foot reconstruction achieved through bony procedures and is aimed at restoring the arch and maintaining joint motion.
Types of procedures:
Heel bone displacement osteotomy (Koutsgiannis Calcaneal Osteotomy)
In a flat foot the heel bone is tilted to the outside(heel valgus), and is no longer in a proper position. Realigning the bone allows for translation of the pulling of the Achilles tendon more to the inner side of the heel, thus preventing heel valgus.
Outer part of the foot lengthening osteotomy(Evans Osteotomy)
Along with the heel being displaced, most flat feet also exhibit a deviation of the front of the foot, which also point outwards. A cut is made in the front of the heel bone and a bone graft is inserted, thus swinging the foot into a straight position, and at the same time increasing the height of the arch.
Arch Lift Procedure(Cotton Osteotomy)
If the prior 2 procedures are inadequate in addressing the a flat foot deformity, this adjunct procedure is performed to supplement the other 2 procedures. A bone graft is inserted into the top part of the arch to realign a component of the flat foot, medically known as forefoot varus or elevatus.
Achilles Tendon Lengthening/Gastroc Recession
In most flat feet the contributing factor to the flat foot is a tight Achilles tendon. This can be addressed by lengthening the tendon or releasing the contracture causing the tightness.
Tendon procedures and joint spacers

Tend on Transfers
Tendon transfer procedures are typically reserved for flexible flat feet, in cases where the tendon that is in charge of supporting the arch(posterior tibial tendon) is compromised, and as a result the foot becomes flat. In these cases the tendon is repaired and rerouted into a position where it can better support the arch. In some cases the repair is augmented by transferring a nearby tendon to reinforce the arch. In most flat foot surgeries a sole tendon transfer procedure is not sufficient and is combined with bony procedures.
Arthroreisis Procedure
This procedure is also reserved for flexible flat feet and typically is performed in teenagers that suffer from flat feet. The older the person becomes, the less tolerable the procedure becomes. This is a procedure that involves placing a metallic or plastic absorbable implant in the sinus tarsi(space between the two bones in the back of the foot that dictate the position of the foot – pronation vs supination) This device causes a blockade that realigns the foot and prevents the collapse of the foot.
What is the recovery time from flat foot surgery?
Recovery is dependent on what type of procedures were performed. If a sole arthroreises procedure is performed, Dr. Majdanski typically allows his patients to walk from day one. If bony or tendon procedures are performed, patients typically are not able to walk for approximately 6-8 weeks. The surgical foot is immobilized in a cast or posterior splint, and patients use crutches/walkers/wheel chairs to help them remain non-weight bearing on the surgical foot. This is followed by a transfer to a walking boot, and a referral to physical therapy to regain muscle strength and mobility. On average patients can return to normal foot gear within 3.5 to 4 months after bony procedures.
What anesthesia is needed for flat foot surgery?

Flat foot surgery is performed both in a outpatient or inpatient setting, depending on the extent of the work needed. More often the surgery is performed under a regional, spinal or general anesthetic. For a sole arthroreisis procedure, local anesthsia with sedation can be used.
What Are The Risks Of Flat Foot Surgery?
Just as any other surgery, flat foot surgery has general risks. Complications may occur with any surgery and are not necessarily your fault, or the fault of your surgeon. Nonetheless, you should understand the risks.
Flat foot surgery complications include, but are not limited to: infection, pain (temporary or permanent), swelling, hematoma, bleeding, blood clot, poor wound healing, incision breakdown, poor bone healing (delayed union, nonunion), nerve injury, disability, recurrence, scarring, stiffness, weakness, hardware problems, need for revisional surgery, and/or catastrophic loss.
